Annika Langvad se fractura la mano en una carrera local de MTB
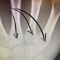
La ciclista Annika Langvad acaba de confirmar que se ha fracturado la mano y se ha fisurado el omóplato en una carrera local de MTB, categoría C1. Esta lesión no hace más que empeorar las cosas para la danesa, que hasta ahora no estaba teniendo un gran inicio de Copa del Mundo.

Annika Langvad se fractura la mano
Ella misma ha confirmado que esta fractura le hará llevar la mano inmovilizada durante 4 semanas lo que le dificultará su preparación para la próxima Copa del Mundo en Vallnord.
"Hasta ahora no podía decir que mi temporada de MTB de primavera hubiera ido sobre ruedas. Hoy me caí durante el calentamiento en una carrera local de C1 y me rompí al menos dos huesos en mi mano derecha más una pequeña fractura en el omóplato. Esto me obligará a estar 4 semanas con un yeso, pero debería poder subirme al rodillo y a la bicicleta de carretera mientras tanto. ¡Qué fastidio!"
RECOMENDADO
30 regalos ciclistas para acertar en Navidad (y todo el año)
Nino Schurter y Jolanda Neff se proclaman campeones de Suiza 2019
Así son los neumáticos Maxxis que probó Nino Schurter en Nove Mesto
Al detalle la Scott Spark de Schurter para la Copa del Mundo de Nove Mesto, con troleo incluído
Las Specialized S-Works Epic de Annika Langvad y Jaroslav Kulhavy para la Cape Epic 2019
Pescadores brasileños encuentran cientos de MTB Scott flotando en el mar [VÍDEO]
Ernest Gagnon, el ciclista con sobrepeso más famoso de la red es todo un ejemplo de amor por el ciclismo

Recordemos que Annika Langvad no está teniendo una temporada "normal" ya que tras ganar la Cape Epic disputó algunas carreras de ciclismo en ruta, consiguiendo una brillante segunda posición en la Strade Bianche. En el comienzo de la Copa del Mundo, Lanvad se mostró fuerte en el Short Track de Albstadt pero a partir de ahí su rendimiento cayó empicado hasta el punto de tomar la decisión de no competir en Nove Mesto para intentar recuperarse.

Así que esperamos que esta lesión no le suponga un gran parón en su rendimiento y la podamos ver peleando por las primeras posiciones en lo que resta de Copa del Mundo. ¡Ánimo Annika!